Happy National Breastfeeding Week to all of you HARD WORKING mommies! You are doing this for so many good reasons, but one you may not know is the benefit breastfeeding can have to reduce your child's risk for obstructive sleep apnea (OSA) later in life. Thanks, Mom :)
#nationalbreastfeedingweek #rootingforyou #breastfriends #breastfeeding #maternalhealth #airwayhealth
Our dental lab Davis Dental Laboratory is now offering the Ultaire AKP partial denture that is as rigid as metal framework partial dentures but is lightweight and has an aesthetically pleasing white color. If you are missing teeth and have been dissatisfied with metal partial dentures, this may be a great option for you!
When your dentist recommends that you limit your daily intake of added sugars, what exactly, is the limit? According to the American Heart Association, the daily allowance for added sugars in the average 2000 calorie diet is 25 g or 6 teaspoons. One 12 oz can of Coca Cola has 39 grams! 😳🥤
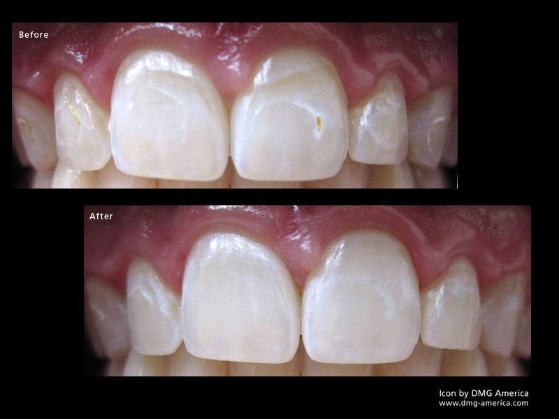
Many patients have white spots on their front teeth from hypocalcification during tooth development, fluorosis, or even early cavity lesions. One great option to reduce the appearance of these white lesions is to use a technique called Resin Infiltration, which may eliminate the need for drilling and more extensive treatments like placing a filling or veneer over the tooth. Treatment usually includes whitening the teeth first, then the teeth are pumiced and etched prior to applying the resin. The resin is cured and the white lesions will continue to blend over time. (Some deep lesions may need to be treated more than once.) For further reading, check out this article: White Lesion Eradication Using Resin Infiltration.
Check out the Before and After photos from the Icon manufacturer's website:


This first video describes flossing basics, and the second video has a great tip for finger placement (at the end of the video) so that you can more easily incorporate flossing into your daily routine.
https://youtu.be/aTWyx0iI01o
https://youtu.be/SRivxlG8Bmc
Parents and caregivers, this video has some great tips about how to prepare your child for their first dental visit. At Harbor Country Dental, we strive to make all visits pleasant and non-stressful for you and your child. You'll have the best chance of introducing the dental office in a positive light if you take your child to preventative visits rather than wait for a problem to arise. -Hillary V. Knight, DDS
The American Academy of Pediatric Dentistry, AAPD, recommends finding a dental home for your child by 12 months of age. This first dental visit is quick and fun and introduces your child to the dental team who will be helping care for your child's smile throughout their lifetime. We typically perform an exam with the child on the parent's lap (see photo below) and look for teeth eruption patterns and check for cavities. Fluoride varnish is applied to keep the enamel of growing teeth strong. And moms, dads, and other caregivers have a chance to ask questions and learn what they can do to help their child have the healthiest smile.

Calling all educators! February is National Children's Dental Health Month. The American Dental Association provides a great resource for quick lesson plans of 10-30 min that help to educate children on the importance of oral health, and gives guidelines for staying healthy. The lesson plans are directed towards specific age groups to ensure the students are engaged.
http://www.mouthhealthykids.org/en/educators
Also, this is a GREAT resource for educating everyone on the long term effects of drinking soda pop and giving suggestions for healthier drink options:
http://drinksdestroyteeth.org/for-teachers/
Since February is the ADA's official National Children's Dental Health Month, January is the perfect time to talk about Prenatal Oral Health.
Expectant mommies: Find out What New Mothers Should Know and How to Keep Your Baby Cavity Free.
Harbor Country Dental © 2025
105 W. Merchant St. New Buffalo, MI 49117
Contact:
team@harborcountrydental.com
Main Phone: (269) 469-3140
Fax: (269) 469-6182
Office Hours (Eastern Time):
Monday—Thursday: 8:30 am - 5:00 pm
Site Powered by Fusion Design Group, Ltd.
Privacy Policy
Harbor Country Dental © 2025
105 W. Merchant St. New Buffalo, MI 49117
Contact:
team@harborcountrydental.com
Main Phone: (269) 469-3140
Fax: (269) 469-6182
Office Hours (Eastern Time):
Monday—Thursday: 8:30 am - 5:00 pm
Site Powered by Fusion Design Group, Ltd.
