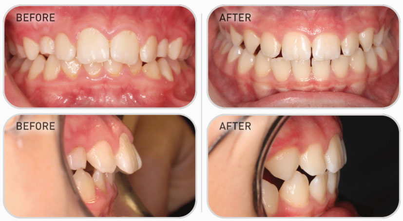
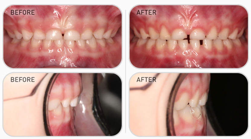
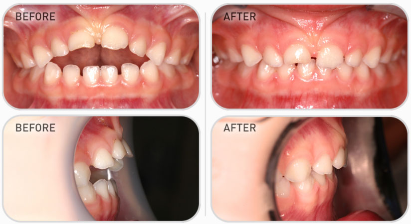
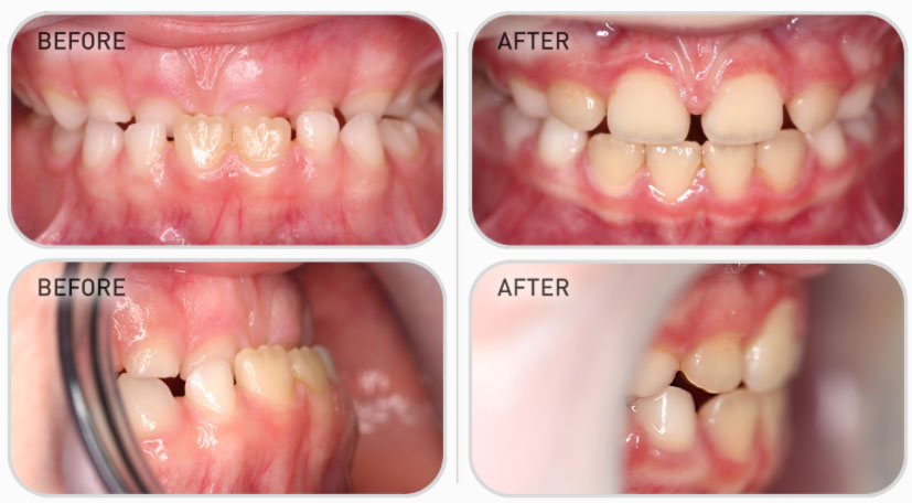
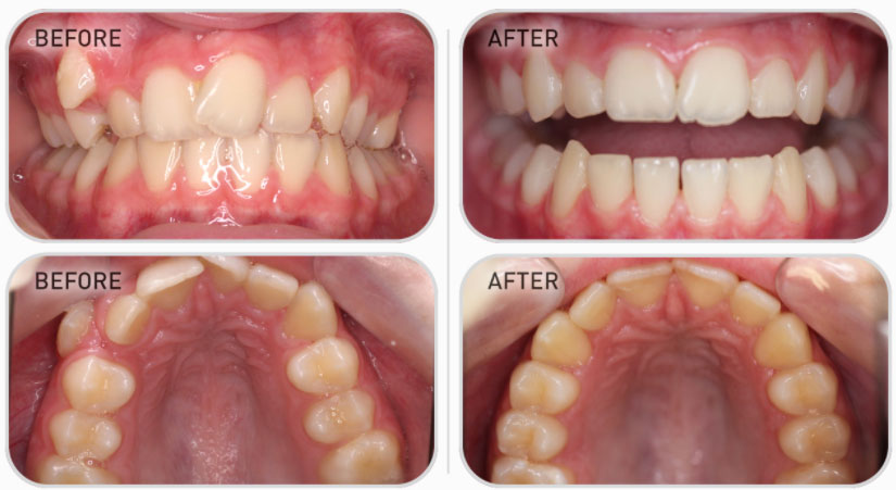
Our office uses myofunctional orthodontics to address the underlying causes of crooked teeth. The result is not only straight teeth, but healthy development of the midface, which is crucial for developing a healthy airway.
The Myobrace program allows your child to reach their full genetic potential. A series of guides is used to establish healthy oral posture and swallowing habits to maintain a healthy growth pattern. It is suitable for children ages 3-15 and is only worn 1-2 hours per day and overnight while sleeping.
Call our office at (269) 469-3140 to schedule a free 30-minute Myobrace consultation.
Informative PDFs:
What Is Myobrace?
Myobrace Booklet for Parents
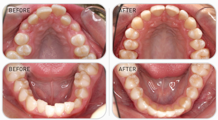
Our office uses myofunctional orthodontics to address the underlying causes of crooked teeth. The result is not only straight teeth, but healthy development of the midface, which is crucial for developing a healthy airway.
The Myobrace program allows your child to reach their full genetic potential. A series of guides is used to establish healthy oral posture and swallowing habits to maintain a healthy growth pattern. It is suitable for children ages 3-15 and is only worn 1-2 hours per day and overnight while sleeping.
Call our office at (269) 469-3140 to schedule a free 30-minute Myobrace consultation.
Informative PDFs:
What Is Myobrace?
Myobrace Booklet for Parents
Harbor Country Dental © 2025
105 W. Merchant St. New Buffalo, MI 49117
Contact:
team@harborcountrydental.com
Main Phone: (269) 469-3140
Fax: (269) 469-6182
Office Hours (Eastern Time):
Monday—Thursday: 8:30 am - 5:00 pm
Site Powered by Fusion Design Group, Ltd.
Privacy Policy
Harbor Country Dental © 2025
105 W. Merchant St. New Buffalo, MI 49117
Contact:
team@harborcountrydental.com
Main Phone: (269) 469-3140
Fax: (269) 469-6182
Office Hours (Eastern Time):
Monday—Thursday: 8:30 am - 5:00 pm
Site Powered by Fusion Design Group, Ltd.
